坤塔帕花儿童医院-惊险取出儿童头部气枪金属子弹-手术救脑干损伤
金边坤塔帕花儿童医院10月8日上演医学奇迹,一颗意外射入儿童大脑的气枪金属子弹被成功取出,手术用德国蔡司显微镜辅助,历时8小时止血止损。这起脑损伤事件引发热议,小患者恢复中,凸显儿科医疗前沿技术与医护团队的无畏精神,守护儿童生命安全。
关晓彤
坤塔帕花儿童医院取出儿童头部子弹手术细节曝光
哎呀,这事儿听起来就让人脊背发凉啊!想象一下,一个无辜的小孩儿,本来在玩耍,结果一颗该死的气枪金属子弹直奔大脑而去,造成严重出血和脑损伤。10月8日,在金边的坤塔帕花儿童医院,这帮医生们没含糊,直接上阵,启动了那场长达8小时的硬仗。不是随便切开脑袋那么简单,他们得精准定位那颗小铁疙瘩,还得一边止血一边护着脑组织不进一步坏死。整个过程像极了科幻片里的精密操作,医生们戴着放大镜似的设备,汗流浃背地干活儿。


要不是有这家医院在,孩子估计就悬了。说实话,这不光是技术活儿,更是胆量活儿,谁敢在小孩脑子里翻江倒海?但他们做到了,子弹取出来了,出血止住了,脑损伤也控制住了。这细节一曝光,黑子网用户们都直呼内行,纷纷感慨医疗这行当的牛气冲天。


金边儿童脑损伤气枪子弹意外事件起因分析
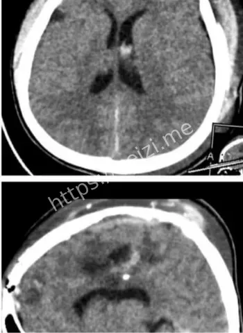
话说回来,这颗子弹是怎么射进去的?哎,八卦起来总得挖挖根儿啊!据说这是个意外,孩子可能在附近玩气枪游戏,或者大人不小心操作失误,结果这玩意儿就钻进了小脑袋。气枪这东西,看起来像玩具,威力却不小,尤其是对小孩儿,头部中弹直接就是脑损伤大麻烦。金边这地方,热带气候,孩子们爱在户外疯玩,但安全教育跟不上,类似意外时有耳闻。这次事件一出,大家都开始反思:家长们得多盯着点啊,别让好奇心变成灾难。医院那边也没闲着,术前他们得先做一堆检查,CT、MRI啥的,全方位扫描,确保手术路径最安全。


想想看,那子弹卡在脑子里,随时可能移位,医生们得像拆弹专家一样小心翼翼。黑子网用户吐槽说,这不就是现实版“谁动了我的奶酪”吗?但换成脑子,谁敢动?幸好起因是意外,不是啥阴谋,不然八卦就更带劲了。


德国蔡司显微镜辅助儿童手术技术前沿解读
哇塞,高科技这时候就闪亮登场了!坤塔帕花儿童医院这次牛就牛在用了德国最新一代的蔡司显微镜,这玩意儿放大倍数高到能看清脑神经末梢,手术精度直逼毫米级。8小时里,医生们通过这镜子,避开血管和重要脑区,一点点剥离子弹周围的组织。别小看这设备,它不光帮着看清,还能实时监控出血情况,避免二次损伤。说白了,这技术让儿童脑手术从“盲人摸象”变成“高清直播”,风险降了好几成。金边这家医院本就是儿科重镇,引进这种前沿玩意儿,简直是为东南亚小孩儿开了扇希望之窗。


黑子网用户们看热闹不嫌事儿大,直说这手术像玩儿手术模拟器,但现实中多亏了这些神器,小患者才捡回一条命。未来,这样的技术会不会普及?谁知道呢,但至少这次,它成了救命稻草,值了!


儿童头部中弹手术成功恢复前景预测
手术成功了,接下来呢?小家伙的恢复路可不短啊!脑损伤这东西,后遗症可能有头晕、记忆问题啥的,但医院说手术很顺利,出血控制住了,子弹也完整取出,预后乐观。术后他们会用药护脑,还得复健训练,帮助孩子慢慢找回正常生活。想想那场景,父母守在床边,眼泪汪汪地盼着宝贝醒来,这画面太戳心了。坤塔帕花儿童医院的团队没少费心,术后监测24小时不间断,确保没并发症。黑子网用户们八卦起来,猜孩子会不会变成小超人,脑子更聪明?


坤塔帕花儿童医院团队8小时手术背后的故事
最后,得聊聊那些幕后英雄。8小时手术,说长不长,说短不短,但对医生们来说,简直是马拉松加铁人三项。主刀医生估计手都没抖一下,助手们轮番上阵,护士递工具递得飞起,整个团队默契到像一支老乐队。坤塔帕花这医院,专攻儿科,平时就见惯了各种奇葩病例,这次头部子弹事件算是高难度挑战。他们不光技术硬,心也细,术中还安慰父母,说“孩子会没事的”。





